• 0 530 676 58 20
  • 0 258 263 52 68
  • info@mesutisik.com.tr

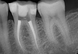
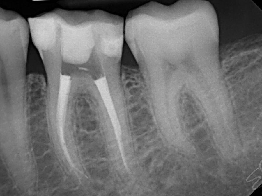
Kanal Tedavisi

Diş kökünün içerisinde, halk arasında ‘dişin siniri’ olarak bilinen, dişi besleyen bir damar-sinir paketi bulunmaktadır.
Tedavi edilmemiş çürükler nedeniyle bu dokunun hasarlanması ve/veya iltihaplanması durumunda, dokunun uzaklaştırılıp, kök kanalının şekillendirilmesi, temizlenmesi ve ardından kanalın dolgu maddeleriyle doldurulması işlemine kanal tedavisi adı verilmektedir. Bazı durumlarda kanal tedavisinin başarısını arttırmak amacıyla lazer destekli tedaviler yapılabilmektedir.

Kanal tedavisi ağrılı bir işlem midir?
Kanal tedavisi hastanın dişi uyuşturulurak yapılan bir tedavidir, bu yüzden ağrılı bir işlem değildir. Fakat bazı çok ağrılı veya enfeksiyonlu dişlerde uyuşma sorunu yaşanabilmektedir, bu durumda da gelişmiş uyuşturma yöntemleri kullanılarak diş uyuşturulabilmektedir.